아래에 혐오스러울 수 있는 엑스레이 사진이 있으니, 자신 없으신 분은 스크롤하지 말고 뒤로 가기 하세요.
지난 몇 년 동안, 기생충에 대한 주목을 끄는 사례들이 보도되었습니다. 기생충은 감염된 사람의 건강을 위협하는 작은 벌레들입니다. 이러한 벌레들은 사람의 체내에서 생존하며, 일부 종류는 치명적인 질병과 연결될 수 있습니다. 이 글에서는 중국의 일부 지역에서 발생한 기생충 감염 사례에 대해 알아보겠습니다.
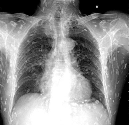
광둥성 푸산시 순더 지역에서 한 남성은 회를 섭취한 뒤, 복부 통증과 피부 가려움증 증상을 겪었습니다. 이로 인해 그는 난팡 의과대학 부속병원을 찾아 진료를 받았습니다. 의사는 이 환자의 증상을 확인하기 위해 엑스레이를 촬영하였고, 이 사진에서는 그의 온몸에 기생충이 퍼져 있는 것을 확인할 수 있었습니다. 이러한 기생충은 촌충 또는 열두 조충이라고 불리는 벌레로서, 사람의 장내에서 기생하는 것으로 알려져 있습니다.

기생충에 감염되는 주된 경로 중 하나는 익히지 않은 날생선, 쇠고기, 돼지고기를 섭취하는 것입니다. 특히 비위생적으로 처리된 송어, 연어, 대구 등은 유충이 침투하여 사람의 체내에 감염을 일으키는 사례가 많이 보고되었습니다. 그러나 중국뿐만 아니라 우리나라에서도 이러한 사례가 발생하고 있음을 간과할 수 없습니다.

기생충에 대한 감염은 심각한 건강 문제를 초래할 수 있습니다. 특히 기생충이 뇌 조직으로 침투하면 생명이 위협될 수 있습니다. 그러므로 기생충 감염에 대한 경각심을 가져야 합니다. 올바른 식품 안전 조치를 취하고, 음식물을 적절하게 조리하여 기생충에 감염되지 않도록 주의해야 합니다. 또한 의심스러운 증상이 있는 경우 즉시 의료진을 찾아가는 것이 중요합니다.

이러한 사례를 통해 우리는 개인의 건강과 안전에 대한 책임을 갖고 신중하게 대처해야 한다는 것을 상기시켜야 합니다. 우리는 음식 안전을 유지하고, 개인 위생을 지키며, 의료진의 지시에 따라 적절한 치료를 받아야 합니다. 또한 이러한 사례들을 통해 관련 기관과 단체들이 기생충 예방을 위한 노력을 강화해야 한다는 것을 알 수 있습니다.

마지막으로, 혐오스러운 사진이나 정보를 활용하여 경각심을 일으키는 것은 가치 있는 노력이지만, 그러한 내용을 공유할 때에는 주의를 기울여야 합니다.

모든 사람들이 혐오스러운 내용을 감당할 수 있는 것은 아니기 때문에 다른 사람들의 감정을 고려하는 것이 중요합니다. 우리는 상대방을 배려하며, 존중하는 태도를 갖고 정보를 공유하는 것이 바람직합니다.
'건강상식' 카테고리의 다른 글
| 프로스카 전립선 탈모치료제 프로페시아 🦀 게베도세즈 (0) | 2023.08.07 |
|---|---|
| 중외제약 G50 가나톤 정 50mg 부작용 이토프리드염산염 (0) | 2023.06.26 |
| 벌꿀의 종류와 정의 : 가짜꿀, 진짜꿀, 사양꿀, 농축꿀, 숙성꿀이란? (0) | 2023.06.19 |
| 눈에 정액이 들어가면 처치법 & 조보아 움짤 (0) | 2021.09.13 |
| 30초만에 피로 푸는 방법 얼음물 족욕 효능 및 부작용. (0) | 2021.07.14 |